Raucher mit lokalem Attachmentverlust

Fallbericht: Fabienne Käser, Dipl. DH HF, über die Behandlung chronisch persistierender parodontaler Taschen bei einem Raucher mit lokalem Attachmentverlust

 

Dieser Fallbericht beschreibt die erfolgreiche Kontrolle persistierender parodontaler Entzündung bei einem langjährigen Raucher mit lokalem Attachmentverlust. Trotz regelmäßiger professioneller Betreuung und mechanischer Reinigung persistierten Blutung und Beschwerden. Die Umstellung auf eine gut verträgliche häusliche Mundhygieneroutine mit zinnfluorid-, zink-, hyaluronsäure- sowie cetylpyridiniumchloridhaltigen Produkten führte bereits nach sechs Monaten zu einer deutlichen klinischen Besserung der parodontalen Entzündungszeichen. Dieser Fall zeigt, dass auch ohne Chlorhexidin eine entzündungshemmende Wirkung durch alternative antimikrobielle Substanzen erzielt werden kann.

Risikofaktor Rauchen

Rauchen zählt zu den wichtigsten Risikofaktoren für Parodontitis und erschwert sowohl die Prognose als auch den Heilungsverlauf. Tabakkonsum wirkt immunsuppressiv und reduziert die parodontale Regeneration [1]. Die S3-Leitlinie „Behandlung von Parodontitis Stadium I–III“ weist darauf hin, dass bei persistierenden Entzündungszeichen der ergänzende Einsatz chemischer Antiplaquemittel zur mechanischen Reinigung in Erwägung gezogen werden kann [2].

 

 

Ausgangssituation vor Umstellung auf meridol Parodont Expert-Produkte

klinische Ausgangslage des vorgestellten Patientenfalls vor der Umstellung auf meridol Parodont Expert-Produkte
Der klinische Status vor der Umstellung auf meridol Parodont Expert-Produkte

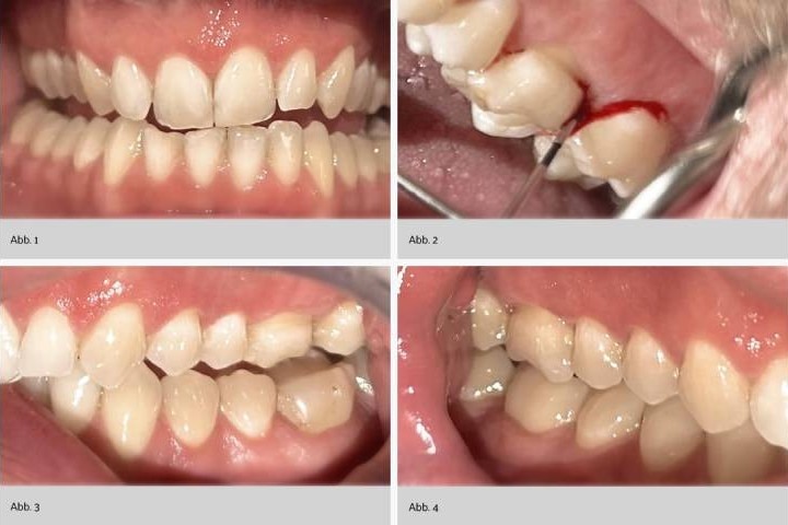
Abb. 5: Die Abbildungen 1 bis 5 zeigen die klinische Ausgangslage des vorgestellten Patientenfalls (männlicher Patient in den 40ern, Raucher) vor der Umstellung auf meridol Parodont Expert-Produkte. Es zeigen sich generalisierte, ausgeprägte Entzündungszeichen. Dazu zählen klinische Zeichen wie Rötung und Schwellung (Abb. 1). An Zahn 26 distal zeigt sich eine Sondierungstiefe von 5 Millimetern mit positivem Bleeding on Probing (Abb. 2). Die Ansichten der Seitenzahnbereiche zeigen Zeichen einer generalisierten Entzündung mit geröteter und geschwollener Gingiva (Abb. 3 und 4). Der klinische Status vor der Umstellung auf meridol Parodont Expert-Produkte dokumentiert generalisierte BOP-positive Stellen sowie Sondierungstiefen von bis zu 5 Millimetern und damit generalisierte Zeichen einer aktiven parodontalen Entzündung (Abb. 5).

 

Fallpräsentation

Ein männlicher Patient in den 40ern mit einer 25-pack-years-Tabakanamnese wurde seit Jahren halbjährlich dentalhygienisch betreut. Die Behandlung erfolgte mittels Ultraschall, Air-Polishing und Handinstrumenten. Trotz guter häuslicher Mundhygiene (Schallzahnbürste mit mittelhartem Kopf zweimal täglich zwei Minuten, Kunststoff-Interdentalbürsten einmal täglich, verschiedene desensibilisierende Sensitive-Zahnpasten) zeigten sich persistierende parodontale Taschen bis 5 mm mit ausgeprägter Blutung (BOP) besonders regio 26 distal (Abb. 1 bis 4 und 7).

Der Patient berichtete über unangenehmen Geschmack im Mund, häufiges Zahnfleischbluten sowie Dentinhypersensibilität. Chlorhexidinprodukte wurden aufgrund von Nebenwirkungen nicht vertragen. Radiologisch zeigte sich kein signifikanter Knochenabbau, klinisch jedoch beginnender Attachmentverlust unter Anderem regio 26 (Abb. 5 bis 7).

 

Bitewing-Aufnahmen aus dem Jahr 2024

Abb. 6 und 7: Bitewing-Aufnahmen aus dem Jahr 2024 belegen keinen signifikanten röntgenologischen Attachmentverlust.

 

Umstellung auf zinnfluoridhaltige Produkte

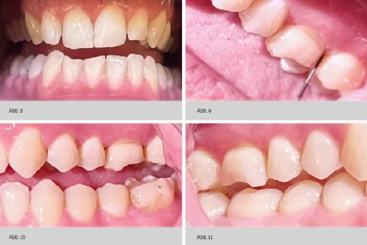
Nach Umstellung der Mundhygiene auf die Zahnpasta meridol Parodont Expert (Zinnfluorid/Zink) zweimal täglich für zwei Minuten, meridol Parodont Expert Mundspülung (mit Zink, Hyaluronsäure und Cetylpyridiniumchlorid) 20 ml einmal täglich für jeweils 30 Sekunden und meridol Flausch-Zahnseide einmal täglich ergab sich nach sechs Monate folgendes Bild: kein Blutgeschmack mehr, keine Blutung und keine Hypersensibilität regio 26, eine signifikante Reduktion der BOP-positiven Stellen um rund 77 Prozent sowie eine Verringerung der Sondierungstiefen um bis zu 2 Millimeter, wie die Abbildungen 8 bis 12 belegen.

 

Ergebnis sechs Monate nach Umstellung auf meridol Parodont Expert-Produkte
Bitewing-Aufnahmen aus dem Jahr 2024 belegen keinen signifikanten röntgenologischen Attachmentverlust.

Abb. 6 und 7: Bitewing-Aufnahmen aus dem Jahr 2024 belegen keinen signifikanten röntgenologischen Attachmentverlust.

 

Situation sechs Monate nach dem Wechsel zu Meridol Parodont Expert Produkten

Abb. 12: Die Abbildungen 8 bis 12 zeigen die Situation sechs Monate nach der Umstellung auf meridol Parodont Expert-Produkte: Ergebnis ist eine deutlich hellere, straffere Gingiva (Abb. 8) mit klinisch gesünderen Merkmalen. Zahn 26 zeigt distal eine reduzierte Taschentiefe von 3 Millimetern, Bleeding on probing ist negativ − ein Zeichen für klinische Entzündungsfreiheit (Abb. 9). Eine gesündere Gingiva zeigt sich auch in den Seitenzahnbereichen mit deutlich reduzierter Schwellung und abgeschwollenen, schlanken Papillen ohne Entzündungszeichen (Abb. 10 und 11). Der klinische Status nach der Umstellung auf meridol Parodont Expert-Produkte dokumentiert signifikant weniger BOP-positive Stellen sowie eine Reduktion der Sondierungstiefen um bis zu 
2 Millimeter (Abb. 12).

 

Die Perspektive des Patienten

Ich habe mich gefragt, warum mein Zahnfleisch so oft blutet und es unangenehm riecht. Besonders hinten links. Kälte war sehr unangenehm. Chlorhexidin habe ich schlecht vertragen – jetzt habe ich kein Blutgeschmack mehr, es fühlt sich gesund und sauber an“, so die Aussage des Patienten.

 

Diskussion

Tabakkonsum beeinflusst Entzündungsmechanismen, Immunantwort und Wundheilung negativ [1]. Bei Rauchenden zeigen sich häufig aufgrund der vasokonstriktiven Wirkung des Nikotins weniger klinisch sichtbare Zeichen wie BOP, wodurch Entzündungen im Parodontium eher unterschätzt werden können [3]. Bei Chlorhexidin-Unverträglichkeit können milde antimikrobielle Wirkstoffe wie Zink und Zinnfluorid eine valide Alternative bieten.

 

Eigene Darstellung des klinischen Verlaufs über einen Zeitraum von sechs Monaten

Abb. 13: Eigene Darstellung des klinischen Verlaufs über einen Zeitraum von sechs Monaten mit folgenden Beobachtungen: Rückgang der BOP-positiven Stellen um rund 77 Prozent von 132 auf 30, Reduktion der Taschentiefen um bis zu 2 mm (regio 26 von 5 mm auf 3 mm), vollständiges Verschwinden der Dentinhypersensibilität.

 

Diese Fallergebnisse (Abb. 13) stehen im Einklang mit publizierten Daten [4], wonach die tägliche Anwendung einer Zahnpasta mit Zinnfluorid und Zink wie meridol Parodont Expert signifikant zur Verbesserung gingivaler Entzündungsparameter wie Plaque-Akkumulation und Sulkusblutung beitragen kann. Auch die folgenden Ergebnisse entsprechen den im vorliegenden Fallbericht gemachten Beobachtungen: He et al. [5] belegten, dass die regelmäßige Anwendung zinnfluoridhaltiger Produkte zu einer signifikanten Reduktion gingivaler Entzündungen führen können.

 

Positive Effekte auf die Kontrolle der Biofilmbildung

Ergänzend zu den hier dokumentierten klinischen Befunden zeigen Studiendaten, dass die Anwendung eines Antiseptikums wie Cetylpyridiniumchlorid in Kombination mit Hyaluronsäure einen positiven Effekt auf die Kontrolle der Biofilmbildung haben kann [6].

Die letzte S3-Leitlinie „Häusliches chemisches Biofilmmanagement zur Prävention und Therapie der Gingivitis“ weist zudem auf die Bedeutung einer individualisierten chemomechanischen Biofilmkontrolle hin [7].

 

Take-Home Messages für die Behandlung von Rauchenden
  • Chronische parodontale Entzündungen erfordern individualisierte Strategien, besonders bei Rauchenden.

  • Eine Chlorhexidin-Unverträglichkeit ist klinisch relevant. Milde antimikrobielle Alternativen wie die meridol Parodont Expert Zahnpasta mit Zinnfluorid, Zink und Pyrophosphat sowie eine Mundspülung mit Zink, Hyaluronsäure und Cetylpyridiniumchlorid sind klinisch wirksam und unterstützen bei der Reduktion von Entzündungen und Taschentiefen.

  • Klinischer Attachmentverlust kann ohne radiologische Evidenz auftreten.

  • Subjektive Symptome wie Blutgeschmack sind entscheidende Marker für Leidensdruck und Therapiewirkung.

  • Fluorid nimmt eine entscheidende Rolle in der Prävention und Behandlung der Dentinhypersensibilitäten ein, insbesondere in Kombination mit Wirkstoffen wie metallischen Ionen [8].

     

     

     

     

Fabienne Käser (Foto: privat)

 

Fabienne Käser, Dipl. DH HF, Nänikon (Schweiz)

Erklärung zu Interessenkonflikten         

Dieser Fallbericht entstand in Zusammenarbeit mit dem Unternehmen 
Colgate-Palmolive. Ein Produkt des Unternehmens wird im Bericht erwähnt. Die Autorin erklärt, dass die fachlichen Inhalte unabhängig, evidenzbasiert und ohne inhaltliche Vorgaben durch das Unternehmen erarbeitet wurden.

 

Über die Autorin

Fabienne Käser, Dipl. DH HF, ist eine engagierte Dentalhygienikerin, erfahrene Referentin und leidenschaftliche Ausbilderin mit fundierter pädagogischer Ausbildung. Ihre Stärke liegt in der Verbindung von Praxis und Didaktik und der wertschätzenden Begleitung von Jugendlichen und Erwachsenen auf ihrem beruflichen Weg. Sie ist Gründerin und selbstständige Referentin der Prophy Swiss GmbH mit Seminaren und Vorträgen in der Region DACH. Fabienne Käser ist Mitglied im Dentalhygienikerinnen-Verband Schweiz (SDH Verband) und Mitglied der Aktion Zahnfreundlich Schweiz.

 

 

Literatur

    • [1] Bergström, J. (2004). Tobacco smoking and chronic destructive periodontal disease. Clinical Oral Investigations, 8(4), 195–201. https://doi.org/10.1007/s10266–004–0043–4

       

    • [2] DG Paro & DGZMK. (2020). S3-Leitlinie — Die Behandlung der Parodontitis Stadium I–III. Langversion 2.0. AWMF-Registernummer 083–043. https://register.awmf.org/de/leitlinien/detail/083–043

       

    • [3] Al-Zamil, A. F., & Al-Zamil, M. N. (2023). The effect of different cigarette smoking levels on gingival crevicular fluid volume and periodontal clinical parameters in Saudi Arabia. Saudi Dental Journal. 
www.ncbi.nlm.nih.gov/pmc/articles/PMC10373081/

       

    • [4] Lorenzo Montesani, Luigi Montesani, Luis R. Mateo, Robert D’Ambrogio, Guofeng Xu, Maria Ryan and Yun-Po Zhang, Clinical investigation of SnF toothpaste in reducing mucositis for implant patients, J Dent Res, 102 (SI_ #3967079), 2024.

       

    • [5] He, T., Mazor, S., Zou, Y., Grender, J., Farrell, S., Sagel, P., Biesbrock, A. R., Timm, H., & Zini, A. (2021). Randomized clinical trial assessing anti-gingivitis efficacy of two stannous fluoride dentifrices and zinc/arginine dentifrice. American Journal of Dentistry, 34(1), 29–34. https://pubmed.ncbi.nlm.nih.gov/33940670/

       

    • [6] Tadakamadla, S. K., Kumar, S., Rosing, C. K., Tibdewal, H., Duraiswamy, P., & Johnson, N. W. (2019). Clinical efficacy of a new cetylpyridinium chloride–hyaluronic acid–based mouthrinse compared to chlorhexidine and placebo mouthrinses: A 21-day randomized clinical trial. International Journal of Dental Hygiene, 17(1), 116–123. 
https://onlinelibrary.wiley.com/doi/10.1111/idh.12413

       

    • [7] DG Paro & DGZMK. (2021). S3-Leitlinie: Häusliches chemisches Biofilmmanagement zur Prävention und Therapie der Gingivitis (abgelaufen). AWMF-Registernummer 083–016. 
https://register.awmf.org/assets/guidelines/083–016l_S3_Haeusliches-chemisches-Biofilmmanagement-Praevention-Therapie-Gingivitis_2021–02-abgelaufen.pdf

       

    • [8] Petersson, L. G. (2013). The role of fluoride in the preventive management of dentin hypersensitivity and root caries. Clinical Oral Investigations, 17(Suppl 1), S63–S71. 
https://doi.org/10.1007/s00784–012–0916–9